Prof. Dr. Ercan Kocakoç: 'Safra yolu kanserinin ameliyatsız tedavisi mümkün'

Modern Tıp, özellikle kanser gibi çağımızın amansız hastalıklarına çözüm bulmak için yöntemler geliştirmeye devam ediyor. Safra yolu kanserleri, teşhis esnasında çoğunlukla ameliyat edilemeyecek kadar ilerlemiş ve tedavisi oldukça zor olan kanser çeşidi olarak biliniyor. Prof. Dr. Ercan Kocakoç, RF (radyofrekans) ablasyon yöntemi ile safra yolu kanserlerinin artık ameliyata gerek kalmadan tedavi edilebildiğini açıkladı.

Prof. Dr. Ercan Kocakoç: 'Safra yolu kanserinin ameliyatsız tedavisi mümkün'
TAKİP ET Google News ile Takip Et

Modern Tıp, özellikle kanser gibi çağımızın amansız hastalıklarına çözüm bulmak için yöntemler geliştirmeye devam ediyor. Safra yolu kanserleri, teşhis esnasında çoğunlukla ameliyat edilemeyecek kadar ilerlemiş ve tedavisi oldukça zor olan kanser çeşidi olarak biliniyor. Prof. Dr. Ercan Kocakoç, RF (radyofrekans) ablasyon yöntemi ile safra yolu kanserlerinin artık ameliyata gerek kalmadan tedavi edilebildiğini açıkladı.

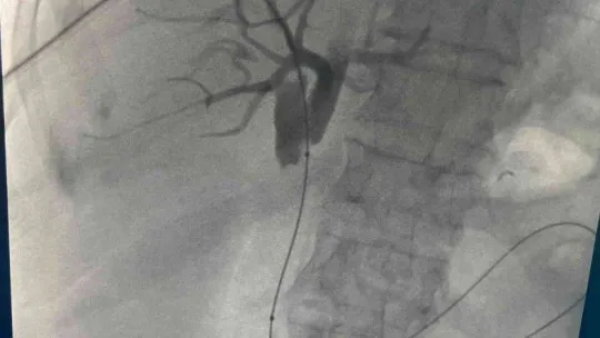
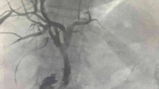
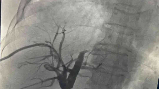
Son dönemde yaygınlaşmaya başlayan bu tedavi yöntemi hakkında bilgi veren Altınbaş Üniversitesi Tıp Fakültesi Radyoloji Anabilim Dalı Başkanı Prof. Dr. Ercan Kocakoç, hastaların 1 hafta içinde normal hayatlarına dönebildiklerini dile getirdi. Safra yolu kanseri vakasında hastaların safra kanallarının tıkanmasına bağlı genellikle kaşıntı ve sarılık şikâyeti ile doktora başvurduklarını anlattı. Ameliyat olamayacak nitelikteki hastalarda tıkanıklığı gidermek ve sarılığı ortadan kaldırmak için önce ciltten bir iğne ile safra kanallarına girildiğini söyledi.

“Endobiliyer Radyofrekans (RF) ablasyon ile tümörler, yakılarak tedavi ediliyor”

Prof. Dr. Ercan Kocakoç, bu yeni yöntemin tıp literatürüne Radyofrekans (RF) ablasyon olarak geçtiğini belirtti. Başta karaciğer olmak üzere vücudun birçok bölgesindeki tümörlerin ultrason, tomografi gibi görüntüleme yöntemlerinin kılavuzluğunda yakılarak tedavi edebilen, girişimsel radyolojik bir yöntem olduğunu söyledi. Prof. Dr. Ercan Kocakoç, önce safra kanalı içerisine basitçe ince plastik bir hortum yerleştirilerek, biriken safra sıvısının dışarıya alındığını dile getirerek, “Tümörün olduğu bölgedeki darlık, bir tel yardımıyla geçilebilirse önce balon ile bu bölge genişletilmeye çalışılır. Sonrasında ise stent denilen ince tellerden örülü metalik bir küçük borucuk yerleştirilerek dışarıda hortum olmadan safranın on iki parmak barsağına akması sağlanır” dedi.

Prof. Dr. Ercan Kocakoç ayrıca safra yolu kanserlerinin tedavisinde Endobiliyer RF ablasyon yöntemi ile de safra kanalı içerisindeki tümörün RF ablasyon ile yakıldığını kaydederek, “Bu yöntemde safra kanalındaki darlığın balon ile açılması, safra kanalı içerisinden RF (radyofrekans) ablasyon ile tümörün yakılması ve safra kanalına metalik stent yerleştirilmesi aşamaları vardır. Bu işlem safranın on iki parmak bağırsağına akmasını sağlayarak sarılıksız daha uzun bir ömür geçirilmesine katkı sağlar” şeklinde konuştu.

“75 yaşındaki hastamız, 1 hafta içinde normale döndü”

Prof. Dr. Ercan Kocakoç en son, 75 yaşında yurtdışından sarılık şikâyeti ile gelen, ana safra kanalında tümör bulunan ve ciddi kalp yetmezliği nedeniyle ameliyatı riskli olan bir hastasına bu yöntemi başarıyla uyguladıklarını dile getirdi. Yaklaşık 11 ay önce genel anestezi verilmeden sedasyon ile endobiliyer RF ablasyon tedavisi ve stent yerleştirilmesi işleminin gerçekleştirildiğini açıkladı. Sarılığı yaklaşık 1 hafta içerisinde normale dönen hastamız halen sarılık şikâyeti olmaksızın hayatına devam etmektedir.

Prof. Dr. Ercan Kocakoç: 'Safra yolu kanserinin ameliyatsız tedavisi mümkün'
Prof. Dr. Ercan Kocakoç: 'Safra yolu kanserinin ameliyatsız tedavisi mümkün'
Prof. Dr. Ercan Kocakoç: 'Safra yolu kanserinin ameliyatsız tedavisi mümkün'